Điều trị nấm da sau khi đi bơi là vấn đề không thể xem nhẹ, đặc biệt với những ai có làn da nhạy cảm hoặc dễ kích ứng. Môi trường ẩm ướt ở hồ bơi công cộng là điều kiện thuận lợi để vi nấm phát triển và tấn công da, gây ngứa ngáy, bong tróc, mẩn đỏ và thậm chí để lại sẹo nếu không xử lý đúng cách. Ngoài tổn thương ban đầu, việc phục hồi da và ngăn ngừa tái phát cũng đóng vai trò quan trọng trong quá trình chăm sóc da lâu dài.
Tại Citrine Derma Clinic – phòng khám da liễu uy tín tại TP.HCM, các bác sĩ chuyên môn cao luôn ưu tiên điều trị nấm da theo hướng tích hợp, vừa tiêu diệt tận gốc vi nấm, vừa tái tạo và trẻ hóa da bằng công nghệ hiện đại như laser Fotona và ánh sáng sinh học. Với quy trình được cá nhân hóa cho từng loại da và vị trí tổn thương, khách hàng hoàn toàn yên tâm về hiệu quả lâu dài, không tái phát và an toàn tuyệt đối.
Bài viết được chia sẻ dưới chuyên môn của ThS.BS Châu Ngọc Tố Trinh – chuyên gia da liễu hơn 10 năm kinh nghiệm trong điều trị bệnh lý da liễu nhiễm trùng.

Điều trị nấm da sau khi đi bơi là vấn đề không thể xem nhẹ
Nấm da sau bơi – Tác nhân từ môi trường ẩm và tiếp xúc gián tiếp
Nấm da (dermatophytosis) là tình trạng nhiễm vi nấm gây ngứa, tróc vảy, đỏ da hoặc nổi mụn nước nhẹ. Tác nhân chủ yếu là các loại vi nấm như Trichophyton rubrum, thường tồn tại trên khăn ướt, sàn nhà tắm, dép chung, ghế nằm sát mặt đất tại hồ bơi [1].
Những yếu tố làm tăng nguy cơ:
- Độ ẩm từ da không được lau khô sau bơi
- Tiếp xúc sàn gạch, ghế đá, tay vịn chưa vệ sinh
- Dùng chung khăn tắm, mũ bơi với người đang mang mầm bệnh
- Hệ miễn dịch yếu, da tổn thương sẵn (bị trầy xước, viêm nang lông…)
Nấm da

Nấm da
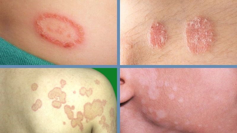
Các thể nấm da thường gặp sau bơi
| Loại nấm | Vị trí phổ biến | Triệu chứng điển hình |
| Nấm thân (Tinea corporis) | Lưng, ngực, bụng, tay | Mảng tròn đỏ, ngứa, vảy trắng nhẹ |
| Nấm bẹn (Tinea cruris) | Vùng bẹn, mông, đùi trong | Ngứa, ẩm, da sẫm màu, viền đỏ lan rộng |
| Nấm da đầu (Tinea capitis) | Da đầu (ở trẻ nhỏ) | Ngứa, rụng tóc mảng nhỏ, có thể có mủ |
Nếu không điều trị nấm da kịp thời, có thể lan nhanh, lây sang người khác và tái phát nhiều lần do bào tử nấm tồn tại dai dẳng [2].
Giải pháp hiện đại tại Citrine Derma Clinic: Diệt nấm triệt để – Ngừa tái phát
1. Laser Fotona: Xuyên sâu – diệt tận gốc sợi nấm
Laser Fotona sử dụng bước sóng Nd:YAG 1064nm tác động sâu xuống trung bì, nơi nấm sợi tồn tại và phát triển. Không giống thuốc bôi chỉ diệt lớp nấm trên bề mặt, laser đi sâu vào nang lông, diệt khuẩn – diệt nấm tận gốc mà không làm tổn thương da [3]. Đồng thời, công nghệ laser Fotona còn kích thích sản sinh collagen, góp phần hỗ trợ trẻ hóa da sau điều trị.
Ưu điểm nổi bật:
- Không đau, không bong da
- Không cần cạo tóc khi trị nấm da đầu
- Không gây rát như acid hay cryotherapy

Công nghệ laser Fotona
2. Phun khử trùng ánh sáng sinh học
Sau laser, khách hàng được chiếu ánh sáng đỏ (633nm) giúp:
- Tăng cường miễn dịch tại chỗ
- Hỗ trợ tiêu diệt mầm nấm còn sót lại
- Giảm viêm, phục hồi da nhanh hơn
Đây là bước quan trọng trong liệu trình để ngăn nguy cơ tái phát, đặc biệt ở vùng da đầu hoặc vùng mặc đồ lót thường xuyên.

Phun khử trùng ánh sáng sinh học
Liệu trình gợi ý tại Citrine: Hiệu quả nhanh chóng
- Trung bình 1 – 2 buổi điều trị nấm da bằng Laser Fotona
- Kết hợp chiếu đèn sinh học ngay sau mỗi buổi
- Không cần dùng thuốc kháng nấm đường uống trừ trường hợp lan rộng
- Có thể dùng thêm kem chống nấm nhẹ dạng thoa nếu bác sĩ chỉ định
Đặc biệt: Với trẻ nhỏ, phác đồ sẽ được điều chỉnh liều năng lượng laser phù hợp độ tuổi, không đau – không cần gây tê – không nghỉ dưỡng.
Phản hồi khách hàng sau điều trị nấm da
“Bé 6 tuổi nhà mình bị nấm đầu, đã đi khám 2 chỗ uống thuốc không khỏi. Sau 2 lần laser ở Citrine, tóc mọc lại và bé không còn ngứa.” – Chị K.P, Q.7
“Mình bị nấm bẹn dai dẳng 4 tháng sau khi tập gym, bơi. Bác sĩ Trinh tư vấn dùng laser Fotona – rất bất ngờ vì sạch hẳn trong 2 tuần, không bong tróc như đốt lạnh.” – Anh H.T, Q.4
Hướng dẫn phòng ngừa nấm da khi đi bơi
- Luôn mang dép cá nhân khi đi nhà vệ sinh, nhà tắm chung
- Dùng khăn tắm, mũ bơi riêng, không dùng đồ người khác
- Tắm và lau khô kỹ ngay sau khi bơi
- Giặt và sấy khô quần áo bơi sau mỗi lần sử dụng
Nấm da không còn là nỗi lo “dài hạn” khi được điều trị đúng
Điều trị nấm da không đơn giản là bôi thuốc – điều quan trọng là phải tiêu diệt mầm bệnh ẩn sâu dưới da và đồng thời tăng cường miễn dịch tại chỗ để ngăn tái phát. Ngoài ra, với công nghệ laser Fotona, có thể kích thích sản sinh collagen, góp phần trẻ hóa da hiệu qua sau khi điều trị nấm da. Tại Citrine Derma Clinic, với sự đồng hành của bác sĩ da liễu giỏi quận 7, khách hàng được tư vấn và cá nhân hóa liệu trình bằng các công nghệ hiện đại, an toàn tuyệt đối cho cả trẻ nhỏ và phụ nữ có làn da nhạy cảm.
Tài liệu tham khảo (Endnote – APA 7th Edition)
- American Academy of Dermatology Association. (2023). Fungal skin infections. https://www.aad.org/public/diseases/rashes/ringworm
- Havlickova, B., Czaika, V. A., & Friedrich, M. (2008). Epidemiological trends in skin mycoses worldwide. Mycoses, 51(s4), 2–15. https://doi.org/10.1111/j.1439-0507.2008.01606.x
- Gold, M. H., Biron, J. A., & Lask, G. P. (2020). Laser treatment of superficial fungal infections: An evidence-based review. Journal of Cosmetic and Laser Therapy, 22(1), 3–7. https://doi.org/10.1080/14764172.2019.1709802
- Meso Trẻ Hóa Da – Giải Pháp Hiệu Quả Cho Làn Da Căng Bóng, Đầy Sức Sống
- Sở Hữu Làn Da Căng Bóng Tự Nhiên Chỉ Sau 1 Liệu Trình
- Điều Trị Viêm Da Cơ Địa Bằng Công Nghệ Trẻ Hóa Da Laser – Giải Pháp Thay Thế Steroid
- Nám Kháng Trị – Vì Sao Điều Trị Mãi Không Hết Và Đâu Là Giải Pháp
- Laser Trẻ Hóa Da – Làn Da Căng Bóng, Sáng Mịn Sau Một Lần Điều Trị




